Partial Mastectomy (Lumpectomy) Utilizing Savi Scout for a Nonpalpable Papilloma
Abstract
Partial mastectomy of the breast, also known as lumpectomy, is a breast-conserving procedure performed to remove many different types of masses and irregularities in the breast tissue. This involves a small incision concealed at the nipple borders or along the natural breast contours, followed by dissection of the area of concern. The excised tissue is then sent to pathology for final tissue diagnosis and, if applicable, to determine if appropriate margins have been achieved. Furthermore, Savi Scout utilization may help to localize the mass when it otherwise would be difficult to identify or locate. Many different breast pathologies can be removed in this fashion, both benign and malignant, depending on both biological and patient-specific details. In the case presented, a nonpalpable papilloma—typically found to be a benign breast lesion with an increased risk of harboring occult premalignant ductal carcinoma in situ (DCIS)—is surgically excised due to the presence of associated concerning symptoms in the patient.
Keywords
Benign breast pathology; breast-conserving surgery; breast cancer; breast surgery; non-wire localizing techniques.
Case Overview
Background
Intraductal papillomas are common breast masses composed of the proliferation of papillary cells in the ducts of breast tissue.1 These lesions can cause palpable masses, breast pain, and nipple discharge that is of concern to patients. When intraductal papillomas have concerning features on imaging, physical exam, or pathology, surgical excision is recommended via partial breast mastectomy, with some opting to utilize Savi Scout radar localization. This detection method can help delineate the mass during surgical excision by placing a probe over the image-guided, preoperatively placed scout within the area of concern. The goal of the procedure in the associated video is to remove the lesion in full so that it may be fully assessed by pathology for any underlying premalignant DCIS, which will determine if any further medical or surgical management is required.
Focused History of the Patient
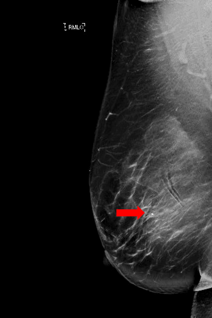
Patient is a 46-year-old premenopausal female with no other contributing past medical or surgical history who presented initially to the breast surgery clinic after her annual screening mammogram discovered a nonpalpable right breast mass measuring 0.6 x 0.8 x 0.7 cm at 11 o’clock (oc), 1 cm from the nipple (FTN) (Figure 1). She had three previous screening mammograms without any notable findings. The screening mammogram was declared inconclusive (BI-RADS 0), and a breast ultrasound was completed with similar findings. Further discussion with the patient revealed that there had been some bloody discharge seen in the right side of her bra over the last few months, but no other concerns or symptoms. Given the inconclusive imaging findings, it was decided to perform a diagnostic mammogram for a more specific assessment (Figures 2a and 2b) following an ultrasound-guided core-needle biopsy and localizing clip placement for a tissue diagnosis (Figure 3). Pathology revealed an intraductal papilloma with ductal hyperplasia and apocrine metaplasia without atypia. Given her continued bloody nipple discharge, there was concern for possible underlying premalignant cells (discussed more later); thus, it was recommended that the patient undergo partial mastectomy. The mass remained nonpalpable; therefore, a Savi Scout would be placed just before operative intervention to help localize the area of concern.


Figure 1. Initial screening mammogram (R mediolateral orientation, followed by craniocaudal). Revealed the concerning area of question measured to be approximately 0.6 x 0.8 x 0.7 cm in size, located at 11 oc and 1 cm FTN.


Figure 2a. Post-biopsy diagnostic mammogram. Right mediolateral oblique view, including an enlarged area for better detail of the coiled biopsy clip in the area of concern (arrow).


Figure 2b. Craniocaudal view of the post-biopsy diagnostic mammogram. Including a closer image of the area with the coiled biopsy clip (arrow).



Figure 3. Ultrasound-guided localization and biopsy of the breast mass in question, first seen on screening mammogram. Post-biopsy image includes typical tissue changes seen once a core-needle biopsy is performed (hash mark).
Physical Exam
Papillomas may not always present as a palpable mass on exam. Often, they will initially present as bloody nipple discharge from the involved ducts, similar to how the above patient presented. A complete breast exam should be completed on all patients with a chief complaint of a breast mass. This should include a lymph node exam, including the axilla, to palpate for any possible enlarged lymph nodes. Should these be present, the provider should be wary of possible underlying malignancy, and further assessment may be required to rule it out. When attempting to express the nipple discharge, the provider should also seek to determine which ducts the discharge originates from, if possible, especially if there appears to be multiple involved.
Imaging
A diagnostic mammogram is typically the first choice for imaging modality for breast masses, including papillomas. Breast ultrasound may also be conducted if further assessment is required, similar to what was done for the above patient. If the results are inconclusive or if more sensitive imaging is needed, a breast MRI may be conducted, but this is usually the last choice and is not always required. Having the imaging available to view in the OR may assist in localizing the mass if it is not palpable and if the Savi Scout cannot be placed preoperatively.
Natural History
Papillomas of the breast start as benign polyps of the ducts in the breast and can grow to be 4–5 cm in size, with most remaining smaller than 1 cm.2 If papillomas are located near the nipple, they can cause bloody nipple discharge. They are also associated with an increased risk of developing ductal carcinoma in situ (DCIS) of the breast, with approximately 5–20% risk of papillomas without atypia containing cancerous or precancerous tissue at the time of their excision. The risk increases in those with atypia to approximately 30–40%.2 There should be further discussions with patients found to have atypia on their papilloma biopsy, including the possibility of postoperative endocrine therapy for preventative breast cancer management.1 Those with upgraded masses may require further medical treatment or surgical intervention after the initial mass is removed; however, the management of malignant and premalignant breast cancer is beyond the scope of this review.
Options for Treatment
After core needle biopsy of the mass is performed for a tissue diagnosis, treatment depends on the presence of atypia in the papilloma. Surgical excision via lumpectomy is recommended for those with atypia, given the increased risk of upstaging and underlying DCIS within the papilloma, discussed in detail later in this review. If the papilloma is without atypia on biopsy, patient characteristics are the determining factor between surgical excision and close monitoring with yearly imaging. Concerning characteristics include bloody nipple discharge, mass > 1.5 cm in size or > 3 cm from the nipple, or having discordance between imaging and biopsy.1 If these concerning findings are present, the recommendation for surgical excision typically follows to complete the workup for underlying high-risk lesions or malignancy. Patients who are asymptomatic and do not have these characteristics can be monitored with yearly mammograms for changes.1,3
Rationale for Treatment
The goals of treatment with surgical excision and partial mastectomies (lumpectomies) are to remove any possible cancerous breast tissue and prevent further development or recurrence of that cancer. The patient in the case above may have had a small papilloma; however, her concurrent bloody nipple discharge raised concern for possible underlying premalignancy or atypia, thus she underwent excisional biopsy via lumpectomy.4
Special Considerations
Intraductal papilloma of the breast must be differentiated from papillomatosis—hyperplastic epithelium within multiple ducts, most often seen in younger patients. Recurrence is common and affects the bilateral breasts. Papillomatosis is also associated with a 1.5–2 times elevated risk of developing DCIS compared to patients without the diagnosis and is treated with surgical excision.5
As with any surgical procedure, each patient and their comorbidities should be fully assessed before undergoing a lumpectomy. Unlike a standard, simple mastectomy, a partial mastectomy can be completed under MAC and local anesthetic. These options can provide a safer surgical plan for those with severe comorbidities. Nevertheless, all necessary preoperative cardiac, pulmonary, and other systems with suspected or known comorbidities should be assessed so that the patient is properly cleared for the operating room.
Discussion
This case demonstrates the typical procedure and key steps in completing a partial mastectomy (lumpectomy) with Savi Scout localization. Through a small incision, all necessary tissue was removed without complication. The post-biopsy and Savi Scout placement imaging was displayed throughout the case to help direct the overall path of the excision; however, the Savi Scout was vital in ensuring we only removed the area of concern. The area of concern was successfully localized in an area with the strongest radar response, and dissection towards this region began through the small skin incision. Once the probe measured the necessary distance from the Savi marker to indicate that our biopsied area was appropriately localized, the region was meticulously dissected out of the remaining breast tissue as a small “cube.” During the dissection of each side, the Savi Scout was repeatedly identified in the isolated breast tissue by using the probe. Minimal blood loss occurred, and very little hemostasis was required at the completion of the operation. In total, the patient had a total operative time of approximately 1 hour. Orientation was maintained throughout the lumpectomy, and each side of the “cube” was marked using the standardized ink colors for pathology. The specimen was X-rayed intraoperatively within a portable X-ray cabinet, where both the biopsy clip and Savi Scout marker were imaged to be within (Figure 4). The excised tissue was sent to pathology, for the final diagnosis was confirmed to be intraductal papilloma without atypia.


Figure 4. The intraoperative X-ray of the excised mass. Used to confirm the biopsied area with the coiled clip (arrow), and the previously placed Savi Scout, shaped like a barbell (star) is removed. When necessary, post-excision X-rays will also reveal if there is any remaining concerning tissue present at the margins of the excised mass.
Following her procedure, the patient recovered in PACU for the required time in our facility. She was discharged once she met all criteria and continued to recover well at home. At her follow-up appointment, her incision healed well without a significant scar and no cosmetic concerns. Her bloody nipple discharge had also resolved by that time.
When compared to a total mastectomy, the operating time for a lumpectomy is typically much reduced and does not require as extensive a dissection. Additionally, as with the patient discussed above, an overnight stay is not typically required with a lumpectomy. The lumpectomy, therefore, not only provides a quicker recovery for patients, but can also lead to a much more cost-effective option for breast pathology surgical management, when applicable.
Breast-conserving surgical options may be the preferred choice for patients when discussing the removal of typically benign lesions. Patient satisfaction with postoperative appearance and cosmesis correlates to the amount of breast volume excised;6 thus, localization of the mass is vital to ensure that only the required, concerning breast tissue is removed and all possible healthy breast remains behind. Localization options have continued to develop over the years. The initial use of wire-localization was deemed an acceptable option and is continued today in some facilities;7,8 however, patient discomfort, wire dislodgement and migration, and poor cosmetic and surgical outcomes led to the development of more effective localization options.8,9,10,11 In one meta-analysis, a trend towards fewer positive margins and less re-excision was found with non-wire localization compared to wire-guided localization;8 however, this was not statistically significant. Better quality of life and cosmesis were favored towards the non-wire localization groups, including Savi Scout, likely related to the increased amount of healthy tissue likely to be left in place and the avoidance of reoperation.8 Additionally, since the radiologist may place the non-wire localizer into the tissue at any entry point without leaving a large incision, the surgical incision can be made in the most cosmetically pleasing option available for the patient.8 Thus, when managing a likely benign lesion such as a papilloma without atypia, utilizing non-wire guided localization options will help ensure that the targeted area is removed and improve patient outcomes postoperatively.
The surgical management of papillomas versus watchful waiting has undergone several different comparisons and in-depth investigations. It is first important to determine if the papilloma is found to have atypia or not on biopsy. When a biopsy-confirmed papilloma with atypia is diagnosed, it is always recommended that surgical excision occur due to the elevated risk of upgrade at the time of excision.12,13 However, there have been several investigations into whether or not papillomas without atypia require surgical excision at all, or if it would be safer to undergo watchful waiting, given that the risk of surgery would be avoided. A small single facility retrospective study reviewed 138 cases of papilloma without atypia, and found that 2.4% of their surgically excised pathologies, and an additional 11.67% were upgraded to high-risk lesions.14 The conservative management group had a large number of patients lost to follow-up and thus could not conclude that watchful waiting was an advisable option for papillomas without atypia.14 The findings from this study were similar to several others, with a relatively high rate of papillomas upgraded to high-risk or in-situ lesions.15–17 Nevertheless, these studies did not delineate between those that include high-risk symptoms or findings versus those that otherwise appear benign. Given that no confounding factors were accounted for, additional studies sought to determine what signs or symptoms indicate a higher risk of upgrade in papillomas without atypia. Certain studies categorized papillomas by size, imaging concordance, and other concerning symptoms, including bloody nipple discharge. One such study found that only 2.1% of patients had an upgrade to malignancy at the time of surgical excision;18 however, larger masses of greater than 1.5 cm were recommended to be excised due to their association with underlying higher risk of upgrade (p = 0.02).18 A meta-analysis that also included the data from two other facilities was conducted to determine the risk of lesion upgrade after excision and found that only 0.6% of the excised lesions required upstaging postoperatively.19 These results did not include papillomas discordant from their imaging or otherwise considered high-risk lesions. They concluded that low-risk, concordant papillomas without atypia can undergo watchful waiting and avoid surgical intervention, assuming no concerning developments occur.19 Clinical assessment and concern should direct medical management when deciding if surgical excision is necessary, as was done with the case discussed above.
Equipment
Various equipment were utilized to perform the partial mastectomy with Savi Scout localization. The Savi Scout and its localization probe were essential during this case when localizing tissue that was not easily identifiable. Manufactured by Merit Medical Systems, the SCOUT Radar Localization system helps to identify the proper direction towards the chip placed in tissue and its distance from the probe. Additionally, the procedure utilized a portable X-ray cabinet to image the excised tissue for immediate, intraoperative confirmation that the biopsied area was removed in its entirety. The Trident HD Specimen Radiography System was used during the procedure in the associated video; however, there are ample other options that may be available in different institutions.
Disclosures
We declare that this article has been created without any sponsorship or financial support from third parties.
Acknowledgments
The authors would like to thank Dr. Lauren Kwasny, DO, for organizing and providing the chance to participate in this educational opportunity.
Statement of Consent
The patient referred to in this video article has given their informed consent to be filmed and is aware that information and images will be published online.
Citations
- Sabel MS. Proliferative Lesions Without Atypia: Intraductal Papillomas. In: UpToDate. Chagpar AB, Whitman GJ, eds. Wolters Kluwer, 2025. Accessed on March 29, 2025.
- Calvillo KZ, Portnow LH. Intraductal papillomas of the breast. Ann Breast Surg. 2021;5:18-24. doi:10.21037/abs-20-113.
- American Society of Breast Surgeons. Breast-conserving surgery/partial mastectomy. American Society of Breast Surgeons; 2020. Available from: https://www.breastsurgeons.org/docs/statements/asbrs-rg-breast-conserving-surgery-partial-mastectomy.pdf.
- Al Sarakbi W, Worku D, Escobar PF, Mokbel K. Breast papillomas: current management with a focus on a new diagnostic and therapeutic modality. Int Semin Surg Oncol. 2006;3(1). doi:10.1186/1477-7800-3-1.
- Debnath D, Al-Okati D, Ismail W. Multiple papillomatosis of breast and patient's choice of treatment. Patholog Res Int. 2010;2010:540590. doi:10.4061/2010/540590.
- Cochrane RA, Valasiadou P, Wilson ARM, et al. Cosmesis and satisfaction after breast-conserving surgery correlates with the percentage of breast volume excised. Br J Surg. 2003;90(12):1505-1509. doi:10.1002/bjs.4344.
- Hall F, Frank H. Preoperative localization of nonpalpable breast lesions. Am J Roentgenol. 1979;132:101-105. doi:10.2214/ajr.132.1.101.
- Garzotto F, Comoretto RI, Michieletto S, et al. Preoperative non-palpable breast lesion localization, innovative techniques and clinical outcomes in surgical practice: a systematic review and meta-analysis. J Breast. 2021;58:93-105. doi:10.1016/j.breast.2021.04.007.
-
Ahmed M, van Hemelrijck M, Douek M. Systematic review of radioguided versus wire-guided localization in the treatment of non-palpable breast cancers. Breast Cancer Res Treat. 2013 Jul;140(2):241-52. doi:10.1007/s10549-013-2547-5.
-
Dua SM, Gray RJ, Keshtgar M. Strategies for localisation of impalpable breast lesions. J Breast. 2011;20:246-253. doi:10.1016/j.breast.2011.01.007.
-
Pouw B, de Wit-van der Veen LJ, Stokkel MPM, Loo CE, Vrancken Peeters MJ, Valdés Olmos RA. Heading toward radioactive seed localization in non-palpable breast cancer surgery? A meta-analysis. J Surg Oncol. 2015; 111:185-191. doi:10.1002/jso.23785.
-
Catanzariti F, Avendano D, Cicero G, et al. High-risk lesions of the breast: concurrent diagnostic tools and management recommendations. Insights Imaging. 2021;12(1):63. doi:10.1186/s13244-021-01005-6.
-
Lamb LR, Bahl M. Evidence-based pragmatic approach to the management of borderline or high-risk breast lesions. AJR Am J Roentgenol. 2022;218(1):186-187. doi:10.2214/AJR.21.26340.
-
Moynihan A, Quinn EM, Smith CS, et al. Benign breast papilloma: is surgical excision necessary? J Breast. 2019;26(4):705-710. doi:10.1111/tbj.13642.
-
Tatarian T, Sokas C, Rufail M, et al. Intraductal papilloma with benign pathology on breast core biopsy: to excise or not? Ann SurgOncol. 2016;23(8):2501‐2507.8. doi:10.1245/s10434-016-5182-7.
-
Jaffer S, Nagi C, Bleiweiss IJ. Excision is indicated for intraductal papilloma of the breast diagnosed on core needle biopsy. Cancer. 2009;115(13):2837‐2843.9. doi:10.1002/cncr.24321.
-
Rizzo M, Linebarger J, Lowe MC, et al. Management of papillary breast lesions diagnosed on core‐needle biopsy: clinical pathologic and radiologic analysis of 276 cases with surgical follow‐up. J AmColl Surg. 2012;214(3):280‐287. doi:10.1016/j.jamcollsurg.2011.12.005.
-
Polat DS, Knippa EE, Ganti R, Seiler SJ, Goudreau SH. Benign breast papillomas without atypia diagnosed with core needle biopsy: outcome of surgical excision and imaging follow-up. Eur J Radiol. 2020;131:109237. doi:10.1016/j.ejrad.2020.109237.
-
Grimm, LJ, Bookhout, CE, et al. Concordant, non-atypical breast papillomas do not require surgical excision: a 10-year multi-institution study and review of the literature. Clin Imag. 51:180-185. doi:10.1016/j.clinimag.2018.04.021.



